Luce una Sonrisa Atractiva
Todos queremos tener un sonrisa bonita y una imagen atractiva.
La sonrisa de una persona no habla por si sola, delata nuestra edad, estado de salud y carácter. Con nosotros es posible conseguir la sonrisa deseada.
Estudios de la American Academy of Cosmetic Dentistry sorprendían a todo el mundo cuando revelaban que el 80% de los encuestados encontraban que el rasgo mas importante en el que se fijaban al conocer a una persona era en su sonrisa. Esta encuesta es una realidad, puesto que la mayora de personas que acuden hoy al dentista exigen que sus tratamientos además de solucionar todos sus problemas de salud, también lo haga de forma estética.
Recupera tu Sonrisa
Los implantes dentales son aditamentos que funcionan como raíces artificiales, creados para sustituir dientes ausentes o perdidos por cualquier causa.
Se trata del método de reposición dental más avanzado para nuestra boca, ya que nos permite recuperar la estética y capacidad masticatoria de manera eficaz, cómoda y segura. Es muy recomendable reponer las piezas ausentes no sólo por una cuestión estética, sino también para poder masticar y digerir correctamente todo tipo de alimentos, lo que nos permitirá llevar una dieta sana y variada. La tecnología con la que trabajamos en la Clínica Dental Tresierra de la Rosa nos permite, en los casos en los que sea necesario y las características del paciente lo permitan, restaurar tu sonrisa en un solo día, mediante la realización de la implantología con carga inmediata.
Reemplaza los Dientes Perdidos
La prótesis dental es la especialidad de la odontología que se encarga de reemplazar los dientes perdidos. Existen dos tipos de prótesis: las fijas y las removibles.
Las prótesis removibles son aquellas que el propio paciente puede colocarse y retirar. Esta clase de prótesis dental se diseña y construye a la medida de las características y necesidades físicas de cada persona, ya que debe adaptarse perfectamente a los tejidos y la forma de los maxilares en los que se apoya para evitar que pueda moverse durante la función. Por otra parte, las prótesis fijas no pueden ser retiradas por el paciente.
Por otra parte, las prótesis fijas no pueden ser retiradas por el paciente. Éstas pueden elaborarse utilizando tus dientes como apoyo; tras una preparación (tallado) cementaremos las nuevas restauraciones.
Para Extraer Piezas, Reponer Tejidos o Colocar Implantes
La cirugía oral generalmente se aplica para extraer dientes incluidos, raíces, quistes u otros procesos patológicos, aunque también es necesaria para reponer tejidos perdidos (hueso o encía) o para la colocación de implantes dentales que servirán para reponer dientes perdidos.
Se realiza habitualmente con anestesia local, sin que se necesiten otros cuidados especiales, aunque te indicaremos las precauciones que debes tener en cuenta. El objetivo es evitar complicaciones que a veces pueden ser molestas, pero que normalmente se controlan bien con los tratamientos antibióticos, analgésicos y anti-inflamatorios adecuados.
Reconstruye tus Dientes
La odontología conservadora es el tratamiento que reconstruye la pérdida de una parte del diente (generalmente producida por caries o fracturas) o un defecto de forma (malformaciones dentarias).
Normalmente se utilizan materiales con el mismo aspecto que el diente, como los composites, que se aplican directamente en la clínica, aunque según la cantidad de diente que tengamos que reponer puede ser necesario recurrir a otros materiales más resistentes, como las porcelanas u otras resinas que se fabrican en laboratorios dentales a medida de la pieza que necesitemos reparar.
Es especialmente importante detectar el problema a tiempo para poder solucionarlo cuanto antes. No esperes más y pide ya tu cita para evitar que se agrave la situación.
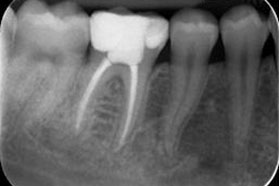
Acaba con las Infecciones e Inflamaciones
La endodoncia es un tratamiento necesario cuando la pulpa, comúnmente conocida como nervio, se inflama o se infecta. Existen varias causas de infección o inflamación: caries profundas, traumatismos o fracturas. Si no se realiza una endodoncia a tiempo, el nervio puede producir un dolor muy intenso e incluso una infección severa de los tejidos que rodean el diente.
Esta técnica consiste en eliminar la pulpa, limpiar y preparar el interior del diente, para finalmente sellar ese espacio de forma tridimensional.
No pongas en peligro la salud de tu boca. Evita que el problema vaya a más y solicita ya tu cita.
Mantén una Boca Saludable y Sin Inflamación
La periodoncia se encarga del cuidado y tratamiento de los tejidos que rodean y sujetan los dientes. Las enfermedades periodontales más comunes son la gingivitis y la periodontitis, que suponen la inflamación e incluso la pérdida de esos tejidos, con la posterior pérdida de los dientes.
La periodoncia es por tanto aquel tratamiento que busca evitar la pérdida de esos tejidos de soporte dentario y, en la medida de lo posible, recuperar los tejidos perdidos. Esta técnica también incluye tratamientos estéticos para mejorar la forma de la encía, mejorando el aspecto que ofrecen los dientes.
El tratamiento periodontal te ayudará a mantener una boca saludable y sin inflamación, para evitar así la pérdida de dientes por pérdida del hueso y resto de los tejidos que lo rodean.
Ortodoncia Invisible y Sin Brackets
Los aparatos fijos, conocidos como brackets, son los encargados de mover los dientes mediante la aplicación de fuerzas suaves, transmitiendo al diente la tensión adecuada mediante un arco metálico (alambre generalmente de Ni-Ti) introducido en ellos. Estos brackets pueden ser metálicos, de cerámica o de zafiro, y producen un movimiento controlado de los dientes.
El objetivo final de nuestros tratamientos es una oclusión estética y funcional. Una mala oclusión no afecta sólo al aspecto de la boca, también puede ser la causa de otras patologías como un desgaste excesivo de dientes, daños sobre la encía y resto de tejidos periodontales, fracturas y movimientos dentarios no deseados.
Los Mejores Tratamientos para los Más Jóvenes
La detección precoz de los problemas de posición dentaria y de las alteraciones de crecimiento de los maxilares es fundamental para corregirlos antes de la maduración ósea. Valorar la aplicación de ortodoncia en niños es de vital importancia, pues cuanto antes se modifiquen las tendencias de crecimiento patológicas, mejor.
Es recomendable efectuar la primera visita al odontólogo a partir de los 5 años, para detectar a tiempo posibles problemas y poder corregir ciertos hábitos que provocan maloclusiones importantes, como chuparse el dedo o prolongar en exceso el uso del chupete.A partir de los 12 años, suelen estar ya todos los dientes definitivos.
El crecimiento de los huesos maxilares está casi completado y podemos influir poco sobre el mismo.
Pon Fin a los Dolores
Cada vez son más frecuentes los problemas de articulación y las alteraciones y patologías de la articulación temporomandibular y de la musculatura craneofacial, acentuadas en la mayoría de los casos por el estrés diario al que estamos sometidos.
Si sufres dolor en los músculos de la cara o dolor de cabeza, la causa podría ser el bruxismo (hábito inconsciente de apretar o rechinar los dientes). Muchas veces, mientras dormimos o estamos trabajando, apretamos los dientes sin darnos cuenta, hasta que aparecen los dolores de mandíbula o cabeza.
El bruxismo provoca una sobrecarga muscular que suele derivar en dolor dental, muscular o articular y en ocasiones desgaste dentario excesivo, lo que puede comprometer la integridad de los dientes
Disfruta de unos Dientes Limpios y Sanos
Tanto o más importante como curar es prevenir. Por eso creemos que el apartado dedicado a la prevención e higiene bucodental es sin duda un área muy importante de la Clínica Dental Tresierra de la Rosa.
Para ello hemos desarrollado un sistema de protocolos para cada situación y para cada paciente, aplicando a cada uno los sistemas de exploración indicados en cada caso, individualizando tanto la periodicidad de sus revisiones como las exploraciones necesarias en función de las patologías encontradas, los tratamientos realizados y los factores de riesgo de cada paciente.
Te ofrece un tratamiento de prevención e higiene bucodental totalmente completo y personalizado. En cada revisión, te aportaremos un informe del estado de tu salud oral, con las recomendaciones para un mantenimiento óptimo










